jueves, 6 de junio de 2013

ENFERMEDADES PERIODONTALES !!!!!!!!!!!!

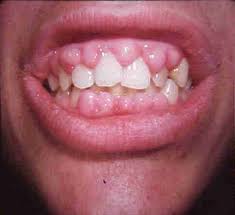
La enfermedad periodontal es una enfermedad que afecta a las encías y las estructuras de soporte de los dientes y la etapa más temprana de dicha enfermedad es la gingivitis que se caracteriza por el enrojecimiento de las encías, que se inflaman y sangran fácilmente. Existen muy pocas molestias en esta etapa, pero en tal caso el peligro está latente y si no se trata en este estado, la enfermedad periodontal puede progresar hacia periodontitis donde hay daños irreversible en las encías.

GINGIVITIS:
La gingivitis es una enfermedad bucal generalmente bacteriana que provoca inflamación y sangrado de las encías, causada por los restos alimenticios que quedan atrapados entre los dientes. Es muy frecuente que su origen sea causado por el crecimiento de las muelas de juicio, que produce una concavidad, que es donde se deposita el agente patógeno o bacteria. Cuando esta enfermedad evoluciona a un estado crónico, provoca bolsas periodontales, movilidad dentaria , sangrado excesivo y espontáneo, y la pérdida del hueso alveolar que sostiene a los dientes, con la gran posibilidad de perder piezas dentales.

                   

PERIODONTITIS
La periodontitis, denominada comúnmente piorrea, es una enfermedad crónica e irreversible que puede cursar con una gingivitis inicial, para luego proseguir con una pérdida de inserción colágena, recesión gingival, e incluso la pérdida de hueso, en el caso de no ser tratada, dejar sin soporte óseo al diente. Es una enfermedad de etiología bacteriana que afecta al periodonto y se manifiesta más comúnmente en adultos mayores de 35 años, pero puede iniciarse en edades más tempranas. La acumulación bacteriana en los dientes es determinante para el inicio y progresión de la peridontitis y aunque las bacterias son esenciales para el inicio de la periodontitis, la gravedad de la enfermedad y respuesta al tratamiento es el resultado de factores modificadores (tabaquismo), contribuyentes (diabetes) o predisponentes (carga genética).
En su prevención es muy importante consultar al Odontólogo al menor síntoma o signo de inflamación y presencia de sarro ya que ahí fácilmente se pega el biofilm microbiano que es una colonia de microorganismos sobre la cual  se depositan las sales de calcio y forman nuevos cálculos dentarios (tártaro o sarro). Controlar el biofilm microbiano y quitar el cálculo dentario frecuentemente es la manera correcta de prevenir una enfermedad que termina por aflojar los dientes, aunque aparenten estar sanos. El sangrado de la encía, aunque solo sea durante el cepillado, no se debe considerar algo normal, indica enfermedad periodontal activa.
TRATAMIENTO
Mecánico: Raspado coronal o eliminación de placa y cálculos supragingivales, raspado y alisado radicular para el desbridamiento de las bolsas periodontales y la terapia de mantenimiento para el control a largo plazo de las enfermedades periodontales.
Antibiótico: La amoxicilina + ácido clavulánico a dosis altas puede considerarse una buena elección de tratamiento antiinfeccioso, y no sustituye al tratamiento mecánico, sino que sirve de adyuvante.
Quirúrgico: La cirugía periodontal regenerativa es una modalidad  contemporánea para el manejo quirurgíco de los defectos periodontales.
Masaje: El masaje periódico de las encías y dientes  una práctica popular, extendida y muy eficiente.

    

Desde hace unos años se han descrito unas nuevas patologías en la encía con la introducción en el mundo de la odontología de los implantes y se han descrito otras dos enfermedades que actúan sobre las encías en las zonas donde hay un implante dentario:
La colonización bacteriana de la superficie del implante conduce a la presencia de cambios inflamatorios reversibles de los tejidos blandos circundantes denominados mucositis y cuando este proceso inflamatorio afecta a los niveles del hueso que soporta al implante en función, se conoce como periimplantitis.
Factores de riesgo:
--Con clara evidencia: Enfermedad periodontal previa, Tabaco, Mala higiene oral.
--Con limitada evidencia: Diabetes y Consumo de alcohol.
--Con limitada y conflictiva evidencia: Influencia genética y Superficie del implante.
La nicotina es un potente vasoconstrictor, que produce una diminución del aporte local de sangre a los tejidos blandos y por tanto reduce el aporte de oxigeno, nutrientes y células defensivascontra los agentes patógenos de la placa bacteriana.
La mala higiene oral puede ser, en la mayoría de los casos, debida al bajo interes o a la mala instrucción del paciente para el cepillado. En una correcta higiene bucal se debe dar un correcto cepillado, uso de cepillos interdentales o hilo dental y su correspondiente enjuage bucal o colutorio.
También existen los irrigadores que se usan despues de un correcto cepillado y su función es la irrigacion de agua a presion desde un depósito a traves de diferentes boquillas para conseguir la eliminación del 99,9 % de la placa bacteriana para evitar el sarro y así la infección bacteriana, y también masajean la encía mejorando la circulación y el aporte de nutrintes que se puede ver afectado por la nicotina ya que posee efecto vasoconstrictor. Así con estos irrigadores se pueden evitarlos dos principales factores de riesgo de clara evidencia como son la mala higiene oral y el tabaquismo. Estos irrigadores presenta distintos adaptadores para la irrigación con la función de llegar a distintas zonas de las encías, especiales para aparatos de ortodoncia, para la higiene de la lengua, para la eliminación de placa, ect.....
Otra ventaja de estos irrigadores sería la incorporación en el depósito del agua de nuestro enjuage bucal que usemos frecuentemente, con el fin de que el liquido irrigado sea mezcla del agua con el enjuage bucal que usemos según nuestras necesidades (blanqueante, para la sensibilidad, para las encías,ect...), además de presentar reguladores de presión para regular la fuerza de la irrigación dependiendo de la sensibilidad que presente cada usuario en las encías.
  

            

No hay comentarios:

Publicar un comentario